از دیرباز جراحی تومور های قاعده ی جمجمه یکی از مشکلات بزرگ در حیطه ی جراحی مغز و اعصاب بوده است. مهمترین مشکلی که سر راه جراحان همیشه قرار داشته است؛ رسیدن به تومور و جراحی کردن آن بدون آسیب دیدن به سایر نواحی مغز و نواحی حیاتی مغز بوده است.
تومور های قاعده ی جمجمه به کدام دسته از تومور ها اطلاق میشود؟
در طی سال های دراز جراحان مغز و اعصاب روش های مختلفی را برای درمان بیمارانی که با تومور های قاعده ی جمجمه به آنها مراجعه کرده اند؛ آزموده اند. اما تومور های قاعده ی جمجمه به کدام دسته از تومورها اطلاق می شود؟
تومور های که در نواحی:
- نواحی سینوس های اتموئید در اطراف بینی
- قسمتی از نواحی چشم و حفره ی اوربیت
- ناحیه ی هیپوفیز و سینوس اسفنوئید
- ناحیه ی خلفی جمجمه مثل نواحی استخوان اکسیپیتال یا پس سری
انواع تومور های قاعده ی جمجمه
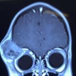
این تومور ها می توانند با انواع آسیب شناسی یا پاتولوژی های متعدد بوجود آید؛ اما به طور کلی برای عموم می توان گفت این تومور ها می توانند به انواع خوش خیم و بدخیم تقسیم شوند.
عمده تومور های بدخیم این نواحی، تومور های متاستاتیک یا تومور هایی هستند که از نواحی مختلف مثل نواحی سینوس های پرانازال یا بینی به قاعده ی جمجمه دست اندازی می کنند و روش های درمان آن فقط برداشت بیوپسی در اکثر مواقع و انجام رادیوتراپی است.
اما مشکل عمده ی این نواحی تومور های خوش خیم هستند. تومور هایی مثل تومور های حفره ی چشم، تومور های ناحیه هیپوفیز و تومور های ناحیه ی سی پی انگل یا ناحیه ی مغزی مخچه ای مثل نورینوم آکوستیک. این تومور ها خوش خیم هستند و بیماران در صورت برداشت این تومور ها توسط جراح می توانند سال های زیادی زندگی کنند.
راه دسترسی به تومور ها چگونه است؟
با روش های متعددی توسط آندوسکوپ و میکروسکوپ می توان به قاعده ی جمجمه ی بیماران دسترسی پیدا کرد. بسیاری از اعمال جراحی های سخت امروزه امکان پذیر شده است. به عنوان مثال برای تومور هیپوفیز با استفاده از روش اندوسکوپی از راه سینوس های پارانازال و از راه داخل بینی دسترسی به تومور ورزکسیون آن به سادگی امکان پذیر شده است.
مطلب مرتبط: جراحی تومور هیپوفیز
بسیاری از تومور های دیگر قاعده ی جمجمه مثل مننژیومایی که در قاعده ی جمجمه رشد می کند با روش های میکروسکوپی و حتی روش مینیمال انوازیو، از برش های کوچک قابل دسترسی است و بسیاری از این بیماران با این اعمال جراحی به بهبودی کامل می رسند.
امروزه با انواع روش کرانیوتومی یا برداشتن جمجمه و دسترسی به قاعده ی جمجمه و همینطور برداشتن تومور از ناحیه ی کف جمجمه بوسیله ی آندوسکوپ، به بسیاری از این تومور ها دسترسی امکان پذیر شده است.
در تیم جراحی مجرب ما که در بیمارستان مهراد و لاله اداره می شود، انواع متخصصین قاعده ی جمجمه و جراحان متخصص گوش و خلق و بینی و یا فوق تخصص های قاعده ی جمجمه؛ و همینطور جراحان مغزی که در تیم جراحی دکتر عبدالحسین پور کار می کنند؛ توانایی انجام انواع جراحی های قاعده ی جمجمه را دارند.
دکتر حسام عبدالحسین پور متخصص جراحی مغز و اعصاب و ستون فقرات





