متاسفانه اطلاعات نادرستی در اختیار برخی از مراجعین و بیماران در ارتباط با تومور مغزی قرار گرفته است. در این مقاله در ارتباط با تومور مغزی ، انواع و راه های درمان آن صحبت شده است. همچنین برخی از علائم شایع این بیماری نیز ذکر شده است.
فهرست موضوعات
تومور مغزی چیست؟
تومور مغزی رشد غیرطبیعی یا تجمعی از سلولها در داخل یا اطراف مغز است. به طور کلی، تومورهای نخاع و مغز با هم به عنوان تومورهای سیستم عصبی مرکزی (CNS) شناخته میشوند.
تومورهای مغزی را میتوان بر اساس ماهیت سلولی به دو دسته تومورهای بدخیم (سرطانی) و خوشخیم (غیرسرطانی) طبقهبندی کرد. برخی از تومورها سرعت رشد بالایی دارند، در حالی که برخی دیگر به کندی رشد میکنند.
شایان ذکر است تنها حدود یک سوم از تومورهای مغزی ماهیت سرطانی دارند. با این حال، فارغ از ماهیت خوشخیم یا بدخیم بودن، تومورهای مغزی در صورت رشد کافی میتوانند بر عملکرد مغز و سلامت کلی فرد تأثیر بگذارند؛ چرا که این رشد غیرطبیعی میتواند بر اعصاب، رگهای خونی و بافتهای اطراف مغز فشار وارد کند.
تومورهایی که مستقیماً در مغز ایجاد میشوند، تومورهای اولیه نامیده میشوند. در مقابل، تومورهایی که در ابتدا در بخش دیگری از بدن شکل گرفته و سپس به مغز گسترش مییابند، تومورهای ثانویه یا متاستاتیک مغزی (متاستاز) نامیده میشوند. لازم به ذکر است که این مقاله به طور خاص بر روی تومورهای اولیه مغز تمرکز دارد.

انواع تومور مغزی
پژوهشگران تاکنون بیش از 150 نوع مختلف تومور مغزی را شناسایی کردهاند. پزشکان تومورهای اولیه را بر اساس نوع سلولی به دو دسته تقسیم میکنند:
1- تومورهای گلیال: این تومورها از سلولهای گلیال در مغز تشکیل شدهاند.
2-تومورهای غیرگلیال: این تومورها در ساختارهای مغز، از جمله اعصاب، رگهای خونی و غدد ایجاد میشوند.
همچنین، همانطور که گفته شد، تومورها بر اساس ماهیت سلولی به دو دسته خوشخیم (غیرسرطانی) و بدخیم (سرطانی) تقسیم میشوند.
بسیاری از انواع تومورهای مغزی میتوانند در نخاع یا ستون فقرات نیز ایجاد شوند. در ادامه توضیحات کامل تری در ارتباط با هر یک از این انواع داده خواهد شد.
تومورهای مغزی خوشخیم
فهرستی از تومورهای مغزی که معمولاً خوشخیم هستند، به شرح زیر است:
1- کوردوما
این تومورها با رشد آهسته معمولاً در قاعده جمجمه و پایین ستون فقرات شروع میشوند. اکثر کوردوماها خوشخیم هستند.
2- کرانیوفارنژیوما
این تومورها معمولاً از بخشی از غده هیپوفیز ایجاد میشوند. به دلیل قرار گرفتن در نزدیکی ساختارهای حیاتی در عمق مغز، برداشتن این تومورها دشوار است.
3- گانگلیوسیتوما، گانگلیوما و آناپلاستیک گانگلیوگلیوما:
این تومورهای نادر از سلولهای عصبی (نورونها) تشکیل میشوند.
4- گلموس ژوگولار
این تومورها معمولاً درست زیر قاعده جمجمه و در قسمت فوقانی سیاهرگ ژوگولار (سیاهرگ گردن) قرار دارند. این نوع، شایعترین شکل تومورهای گلموس است.
5- مننژیوم
مننژیومها شایعترین نوع تومورهای اولیه مغز هستند. مننژیومها معمولاً به کندی رشد میکنند و در مننژ (پوشش مغز و نخاع) ایجاد میشوند. در موارد نادر، یک مننژیوم میتواند بدخیم باشد.
6- پینئوسیتوما
این تومورهای با رشد آهسته در غده صنوبری که در عمق مغز قرار دارد و هورمون ملاتونین را ترشح میکند، ایجاد میشوند.
7- آدنومهای هیپوفیز
این تومورها در غده هیپوفیز که در قاعده مغز قرار گرفته است، ایجاد میشوند. غده هیپوفیز هورمونهای بدن را ساخته و کنترل میکند. آدنومهای هیپوفیز معمولاً به کندی رشد میکنند و ممکن است باعث ترشح بیش از حد هورمونهای هیپوفیز شوند.
6- شوانوما
این نوع، تومورهای مغزی خوشخیم شایعی در بزرگسالان هستند. آنها از سلولهای شوان در سیستم عصبی محیطی یا اعصاب جمجمهای ایجاد میشوند. سلولهای شوان به هدایت تکانههای عصبی کمک میکنند.
نورینومهای آکوستیک (عصب شنوایی) شایعترین نوع شوانوما هستند. این تومورها روی عصب وستیبولی (عصبی که از گوش داخلی به مغز میرود) ایجاد میشوند.

تومورهای مغزی بدخیم (سرطانی)
حدود 78 درصد از تومورهای اولیه بدخیم مغز، گلیوما هستند. این تومورها در سلولهای گلیال که سلولهای عصبی را احاطه کرده و به آنها کمک میکنند، ایجاد میشوند. انواع گلیومها عبارتند از:
1- آستروسیتوما
این تومورها شایعترین نوع گلیوما هستند. آنها در سلولهای گلیال ستارهشکل به نام آستروسایت تشکیل میشوند. آستروسیتوما میتواند در بسیاری از نقاط مغز ایجاد شود، اما بیشتر در مغز بزرگ (مخ) رخ میدهد.
2- اپاندیموما
این تومورها اغلب در نزدیکی بطنهای مغز ایجاد میشوند. اپاندیموما از سلولهای اپاندیمال (به نام سلولهای گلیال شعاعی) ایجاد میشود.
3- گلیوبلاستوما (GBM)
این تومورها در سلولهای گلیال به نام آستروسایت تشکیل میشوند. گلیوبلاستوما سریعترین نوع آستروسیتوم از نظر سرعت رشد است.
4- الیگودندروگلیوما
این تومورهای نادر در سلولهایی شروع میشوند که میلین (لایه محافظتی اطراف اعصاب مغز) را تولید میکنند.
5- مدولوبلاستوما
نوع دیگری از تومورهای مغزی بدخیم است. این تومورها به سرعت رشد کرده و در قاعده جمجمه ایجاد میشوند. مدولوبلاستوما شایعترین تومور مغزی بدخیم در کودکان است.

علت ابتلا به تومور مغزی
علت ایجاد تومورهای مغزی به طور دقیق شناخته نشده است، اما محققان بر این باورند که این تومورها زمانی ایجاد میشوند که برخی از ژنهای روی کروموزومهای یک سلول آسیب ببینند و دیگر عملکرد صحیح نداشته باشند.
این ژنها به طور معمول سرعت تقسیم سلولی (اینکه آیا اصلاً تقسیم میشود یا نه) و همچنین ژنهای ترمیمکننده که نواقص سایر ژنها را برطرف میکنند و همچنین ژنهایی را که در صورت آسیب غیرقابل ترمیم باید باعث مرگ سلول شوند، تنظیم میکنند.
در برخی موارد، ممکن است فرد با نقصهای جزئی در یک یا چند مورد از این ژنها به دنیا بیاید. عوامل محیطی ممکن است منجر به آسیب بیشتر شوند. در موارد دیگر، آسیب محیطی به ژنها ممکن است تنها علت باشد. اینکه چرا برخی از افراد در یک “محیط” خاص به تومور مغزی مبتلا میشوند، در حالی که برخی دیگر اینگونه نیستند، هنوز مشخص نیست.
زمانی که یک سلول به سرعت تقسیم میشود و مکانیسمهای داخلی کنترل رشد آن آسیب میبینند، این سلول در نهایت میتواند به تومور تبدیل شود. خط دفاعی دیگر سیستم ایمنی بدن است که در حالت ایدهآل، سلول غیرطبیعی را تشخیص داده و آن را از بین میبرد.
تومورها ممکن است موادی تولید کنند که از شناسایی سلولهای تومور غیرطبیعی توسط سیستم ایمنی جلوگیری کند و در نهایت بر تمام موانع داخلی و خارجی رشد خود غلبه کند.
ممکن است یک تومور با سرعت رشد بالا به اکسیژن و مواد مغذی بیشتری نسبت به آنچه که از خونرسانی موضعی برای بافت طبیعی تأمین میشود، نیاز داشته باشد. تومورها میتوانند موادی به نام «فاکتورهای آنژیوژنز» تولید کنند که باعث رشد رگهای خونی میشوند.
رگهای جدیدی که رشد میکنند، مواد مغذی رسانی به تومور را افزایش میدهند و در نهایت، تومور به این رگهای جدید وابسته میشود. تحقیقات در این زمینه در حال انجام است، اما برای تبدیل این دانش به درمانهای بالقوه، تحقیقات گستردهتری لازم است.

علائم ابتلا به تومور مغزی
علائم تومور مغزی بسته به محل تومور میتواند متفاوت باشد، اما موارد زیر ممکن است انواع مختلف تومورهای مغزی را همراهی کند:
- سردردهایی که ممکن است در صبح شدیدتر باشند یا بیمار را در شب بیدار کنند
- تشنج یا حمله
- مشکل در تفکر، صحبت کردن یا بیان کلامی
- تغییرات شخصیتی
- ضعف یا فلج در یک قسمت یا یک طرف بدن
- از دست دادن تعادل یا سرگیجه
- تغییرات بینایی
- تغییرات شنوایی
- بی حسی یا سوزن سوزن شدن صورت
- تهوع یا استفراغ، مشکلات بلع
- سردرگمی و بی جهتی
جهت اطلاعات بیشتر می توانید مقاله ی زیر را دانبال کنید.
مطلب مرتبط: از کجا بفهمم تومور مغزی دارم؟

معاینه پزشکی برای تشخیص تومور مغزی
تشخیص تومور مغزی میتواند روندی پیچیده باشد و در این فرایند، اغلب به تخصص چندین پزشک مجرب نیاز است. با این حال، در برخی موارد، پزشکان ممکن است در حین انجام تصویربرداری برای بررسی یک مشکل پزشکی دیگر، به طور اتفاقی تومور مغزی را کشف کنند.
اگر علائم تومور مغزی را تجربه میکنید، پزشک معالجتان معاینه فیزیکی انجام میدهد. همچنین، پزشک سوالاتی راجع به موارد زیر مطرح میکند:
- علائم بیماری
- سوابق پزشکی گذشته و حال
- داروهایی که در حال حاضر مصرف میکنید
- جراحیها و درمانهای پزشکی که داشتهاید
- سابقه پزشکی خانوادگی
همچنین، پزشک ممکن است یک آزمایش عصبی انجام دهد که شامل بررسی تغییرات در موارد زیر است:
- تعادل و هماهنگی
- وضعیت ذهنی
- شنوایی
- بینایی
- رفلکس ها
این تغییرات میتوانند نشانگر ناحیهای از مغز باشند که تحت تاثیر تومور قرار گرفته است.
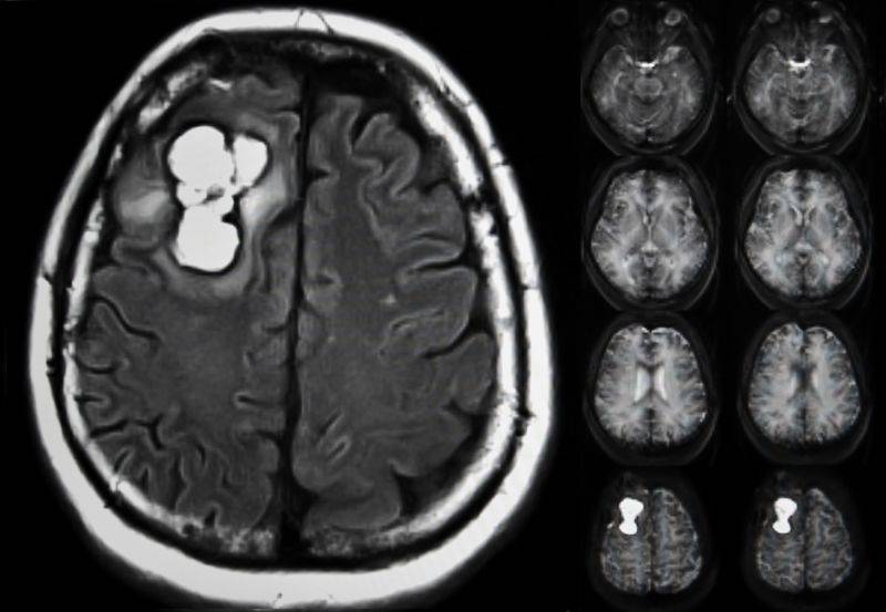
اگر پزشک معالجتان مشکوک به تومور مغزی باشد، معمولاً مرحله بعدی انجام یک اسکن مغزی، اغلب ام آر آی، است.

تومور مغزی در کجا تشکیل می شود؟
تومورهای مغزی میتوانند در هر ناحیهای از مغز ایجاد شوند، اما نواحی خاصی هستند که تومورهای ویژهای در آنها شکل میگیرند:
مننژیوم
این تومورها در مننژ، لایه محافظ پوشاننده مغز، ایجاد میشوند.
تومورهای هیپوفیز
این تومورها در غده هیپوفیز ایجاد میشوند.
تومورهای مدولوبلاستوما
این تومورها از مخچه یا ساقه مغز نشأت میگیرند.
تومورهای قاعده جمجمه
این تومورها در قسمت زیرین مغز، که قاعده جمجمه نامیده میشود، رشد میکنند.
تومورهای مغزی دیگر بر اساس نوع سلولهایی که از آنها تشکیل شدهاند، توصیف میشوند. برای مثال، گلیوماها از سلولهای گلیال تشکیل شدهاند.

تومور مغزی در کودکان
تومورهای مغزی شایعترین تومورهای جامد در کودکان و نوجوانان هستند و سالانه حدود 5000 کودک در ایالات متحده را تحت تاثیر قرار میدهند. انواع مختلفی از تومورهای مغزی میتوانند در کودکان ایجاد شوند، از جمله آستروسیتوما (به عنوان مثال، گلیوبلاستومای multiforme)، گلیوما، اپاندیموما و مدولوبلاستوما.
تست های تشخیصی بیماری
تشخیص تومور مغزی مستلزم انجام چندین آزمایش توسط پزشکان است. این آزمایشات عبارتند از:
1- MRI یا سی تی اسکن مغز
MRI بهترین روش تصویربرداری برای تشخیص تومورهای مغزی است. اگر امکان MRI نباشد، سی تی اسکن (توموگرافی کامپیوتری) میتواند جایگزین مناسبی باشد. قبل از انجام این آزمایشها، ماده حاجب برای نمایش واضحتر تومور به یکی از سیاهرگهای شما تزریق میشود.
این تصویربرداریها میتوانند اندازه و محل دقیق تومور را با جزئیات مشخص کنند. پزشک ممکن است برای بررسی انتشار احتمالی تومور، بخشهای دیگر بدن مانند ریهها، روده بزرگ یا سینه را نیز بررسی کند.
2- بیوپسی (نمونهبرداری)
برای تشخیص نوع تومور و تعیین سرطانی بودن یا نبودن آن، پزشکان معمولاً نیاز به بیوپسی تومور دارند (برداشتن نمونهای از تومور برای بررسی زیر میکروسکوپ). جراح مغز و اعصاب ممکن است بیوپسی را در حین جراحی برای برداشتن تمام یا بخشی از تومور انجام دهد.
اگر دسترسی به تومور مشکل باشد، پزشک ممکن است بیوپسی استریوتاکتیک (روشی کمتهاجمی) را انجام دهد که شامل ایجاد یک سوراخ کوچک در جمجمه و استفاده از سوزن برای برداشتن نمونهای از بافت تومور است.
3- سوراخ کردن کمر
در این روش، پزشک با استفاده از سوزنی کوچک، مایع مغزی نخاعی (CSF) را از اطراف ستون فقرات شما خارج میکند. این مایع در آزمایشگاه بررسی میشود تا سلولهای سرطانی احتمالی شناسایی شوند.
این روش زمانی استفاده میشود که پزشکان به انتشار تومور به لایههای بافتی پوشاننده مغز (مننژ) مشکوک باشند.
4- آزمایشهای تخصصی
در برخی موارد، آزمایشهای خاص میتوانند در تشخیص کمککننده باشند. پزشک ممکن است آزمایشهایی برای بررسی خون و مایع مغزی نخاعی شما از نظر وجود موادی به نام تومورمارکر که توسط تومورهای خاص ترشح میشوند، تجویز کند.
همچنین، ممکن است آزمایشهایی برای بررسی ناهنجاریهای ژنی مشخصه تومورهای خاص انجام دهد

عوامل موثر در ابتلا به تومور مغزی
علت ایجاد تومورهای اولیه مغز در اغلب موارد مشخص نیست. با این حال، پزشکان برخی عوامل را شناسایی کردهاند که ممکن است خطر ابتلا را افزایش دهند.
عوامل خطر عبارتند از:
1- سن
تومورهای مغزی میتوانند در هر سنی رخ دهند، اما بیشتر در بزرگسالان مسن دیده میشوند. برخی از تومورهای مغزی بیشتر بزرگسالان را تحت تاثیر قرار میدهند. برخی از تومورهای مغزی نیز بیشتر در کودکان رخ میدهند.
2- نژاد
ابتلا به تومور مغزی در هر نژادی محتمل است. اما برخی از انواع تومورهای مغزی در نژادهای خاصی شایعتر هستند. به عنوان مثال، گلیوما در نژاد سفیدپوست شایعتر است. در حالی که مننژیوم در نژاد سیاهپوست بیشتر دیده میشود.
3- قرار گرفتن در معرض پرتو (اشعه)
افرادی که در معرض نوع خاصی از پرتو (اشعه) قوی قرار گرفتهاند، خطر ابتلا به تومور مغزی در آنها افزایش مییابد. این نوع پرتو (اشعه) قوی، یونساز نامیده میشود.
این پرتو (اشعه) به اندازهای قوی است که میتواند باعث تغییرات DNA در سلولهای بدن شود. تغییرات DNA میتواند منجر به ایجاد تومور و سرطان شود.
نمونههایی از پرتو (اشعه) یونساز شامل رادیوتراپی برای درمان سرطان و پرتو (اشعه) ناشی از بمبهای اتمی است. پرتو (اشعه) با سطح پایین که از وسایل روزمره ساطع میشود، با تومورهای مغزی مرتبط نیست.
سطوح پایین پرتو (اشعه) شامل انرژی حاصل از تلفنهای همراه و امواج رادیویی است. هیچ مدرک محکمی وجود ندارد که استفاده از تلفن همراه باعث تومور مغزی شود. با این حال، مطالعات بیشتری برای اطمینان در حال انجام است.
4- سندرومهای ارثی
برخی از تغییرات DNA که خطر ابتلا به تومور مغزی را افزایش میدهند، در خانوادهها وجود دارد. نمونههایی از این تغییرات DNA که باعث ایجاد نوروفیبروماتوزیس نوع 1 و 2، توبروس اسکلروزیس، سندرم لینچ، سندرم لی-فراومن، بیماری فون هیپل-لیندو، پولیپوز آدنوماتوز فامیلی، سندرم کودن و سندرم گورلین میشوند.

درمان تومور مغزی
درمان تومور مغزی به عوامل متعددی بستگی دارد، از جمله:
1- مکان، اندازه و نوع تومور: محل قرارگیری، ابعاد و ماهیت تومور بر روند درمان تاثیرگذار است.
2- تعداد تومورها: تعداد تومورهای مغزی در تعیین استراتژی درمانی نقش دارد.
3- سن بیمار: سن فرد در انتخاب نوع درمان اهمیت دارد.
4- سلامت کلی بیمار: وضعیت سلامت عمومی بیمار یکی از عوامل موثر بر روند درمان است.
تومورهای مغزی خوشخیم (غیرسرطانی) معمولاً با جراحی قابل درمان بوده و عود نمیکنند. این موضوع اغلب به توانایی جراح مغز و اعصاب در برداشتن ایمن و کامل کل تومور بستگی دارد.
برخی درمانهایی که در بزرگسالان عوارض چندانی ندارند، مانند رادیوتراپی، میتوانند بر روند رشد طبیعی مغز کودک، به ویژه در کودکان زیر پنج سال تأثیر منفی بگذارند.
پزشکان اغلب از ترکیبی از درمانها برای مقابله با تومور استفاده میکنند. گزینههای درمانی شما ممکن است شامل موارد زیر باشد:
1- جراحی باز تومور مغزی
در صورت امکان، جراحان مغز و اعصاب تومور را خارج میکنند. آنها با دقت فراوان و گاهی اوقات در حالی که شما بیدار هستید (احساس درد نخواهید کرد) عمل جراحی را انجام میدهند تا آسیب به مناطق عملکردی مغز شما به حداقل برسد.

2- رادیوتراپی
در این نوع درمان، دوزهای بالای اشعه ایکس سلولهای تومور مغزی را از بین میبرند یا تومور را کوچک میکنند.
3- راديو جراحی
این نوعی از رادیوتراپی است که از پرتوهای بسیار متمرکز تابش (پرتوهای گاما یا پروتون) برای از بین بردن تومور استفاده میکند. رادیوجراحی در واقع عمل جراحی نیست زیرا نیازی به برش (ایجاد شکاف) ندارد.
4- براکی تراپی
این نوعی از رادیوتراپی است که شامل قرار دادن دانههای رادیواکتیو، کپسولها یا سایر ایمپلنتها به صورت جراحی به طور مستقیم در داخل یا نزدیک تومور سرطانی است.
5- شیمی درمانی
این درمان شامل داروهای ضد سرطان است که سلولهای سرطانی را در مغز و کل بدن از بین میبرد. شیمیدرمانی ممکن است از طریق تزریق به رگ یا به صورت قرص انجام شود.
پزشک معالج شما ممکن است شیمی درمانی را بعد از جراحی برای از بین بردن سلولهای سرطانی باقیمانده یا جلوگیری از رشد سلولهای تومور باقیمانده توصیه کند.

6- ایمونوتراپی
ایمونوتراپی که به آن «درمان بیولوژیک» نیز گفته میشود، نوعی درمان است که از سیستم ایمنی بدن شما برای مبارزه با سرطان استفاده میکند. این درمان عمدتاً بر تحریک سیستم ایمنی بدن برای کمک به عملکرد بهتر آن متمرکز است.
7- درمان هدفمند
در این روش درمانی، داروها ویژگیهای خاصی را در سلولهای سرطانی هدف قرار میدهند بدون اینکه به سلولهای سالم آسیبی برسانند. پزشک معالج شما ممکن است در صورت عدم تحمل عوارض جانبی شیمیدرمانی مانند خستگی و تهوع، درمان هدفمند را توصیه کند.
سایر روشهای درمانی که به کاهش علائم ناشی از تومورهای مغزی کمک میکنند عبارتند از:
8- شانت (لولههای تخلیه)
اگر تومور باعث افزایش فشار داخل جمجمه شما شود، ممکن است نیاز به جراحی برای قرار دادن یک شانت (لوله نازکی) در مغزتان داشته باشید تا مایع مغزی نخاعی اضافی تخلیه شود.
9- داروهایی مانند مانیتول و کورتیکواستروئیدها
این داروها میتوانند به کاهش فشار داخل جمجمه شما کمک کنند. آنها تورم اطراف تومور را کاهش میدهند.
10- مراقبت تسکینی
این نوع خاصی از مراقبت است که تسکین علائم، آسایش و حمایت را برای افرادی که با بیماریهای جدی زندگی میکنند، فراهم میکند. همچنین از مراقبین و افرادی که تحت تأثیر وضعیت یکی از عزیزانشان قرار دارند، حمایت میکند.
در این مقاله علاوه بر دانش دکتر حسام عبدالحسین پور از مراجع معتبری مانند انجمن جراحان مغز و اعصاب آمریکا، دانشگاه جان هاپکینز استفاده شده است.
مراجع کمکی:
انجمن جراحان مغز و اعصاب آمریکا
دکتر حسام عبدالحسین پور، متخصص جراحی مغز و اعصاب
